ホーム > 患者さんへ > 診療内容・実績 > 脳腫瘍 > 下垂体腫瘍
下垂体腫瘍
【要点】
下垂体は鼻の付け根の奥のトルコ鞍という頭蓋骨の小さなポケット(大きさ1cm大)のようなところにあります。

下垂体は、成長ホルモン,乳汁分泌ホルモン、副腎皮質刺激ホルモン、甲状腺刺激ホルモン、性腺刺激ホルモンや抗利尿ホルモンといった全身のホルモンの調整を行っています。
これらのホルモンが十分に分泌されなくなると様々な全身の不調が出現します。(後述)
下垂体、またその近傍にできる代表的な腫瘍として、下垂体腺腫、ラトケ嚢胞、頭蓋咽頭腫、髄膜腫があります。
他に神経膠腫、胚細胞腫なども時に認められます。
【症状】
[ 圧迫による症状 ]
腫瘍の種類に関係なく、腫瘍が大きくなることで神経や正常な下垂体が圧迫されて、正常な機能が果たせなくなると症状が出現します。
①下垂体腫瘍による神経の圧迫症状
腫瘍が大きくなれば、下垂体近傍に存在する視神経を強く圧迫し、視野や視力の障害が出現します。
とても大きなものになると、目を動かす神経や顔面の感覚を司る神経が障害を受けることもあります。
②ホルモンの欠乏症状
腫瘍が大きくなると、下垂体が腫瘍によって強い圧迫を受け、下垂体の本来持つ機能が果たせなくなります。
疲れやすさ、全身の脱力、寒冷過敏症、無月経(女性)、陰萎(男性)、喉の乾き(軽度の尿崩症)、電解質の異常などが代表的なホルモン欠乏による症状です。
③水頭症
脳室という脳を満たす脳脊髄液の通り道を腫瘍が圧迫することで閉塞し、頭蓋内圧が高くなる状態です。
頭蓋内圧が高くなりすぎると、歩行障害や尿失禁、認知症様症状が出現します。
[ ホルモン過剰産生による症状 ]
後述する機能性下垂体腺腫は、産生されるホルモンの種類によりそれぞれ特有の内分泌学的症状が出現します。
④ホルモンの分泌過剰症状
手や足などの末端肥大、乳汁分泌、乳汁漏出、糖尿病、高血圧、クッシング病
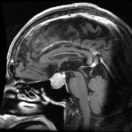
【下垂体腺腫】

脳下垂体前葉細胞に由来する良性腫瘍で、成人に多く、神経膠腫、髄膜腫に次いで多い脳腫瘍とされています。
ホルモンを産生してホルモン過剰による症状を呈する腫瘍は、機能性下垂体腺腫と呼ばれます。ホルモン過剰による症状を呈さない腫瘍は、非機能性下垂体腺腫と呼ばれ、約40%がこのタイプになります。
トルコ鞍の中で成長し、大きくなるとトルコ鞍から頭蓋内へ突出し(鞍上部へ突出し)、脳神経を圧迫します。腫瘍が鞍上部へ突出し視神経を強く圧迫すると、視機能の低下(視野欠損、視力低下)を招きます。視野欠損は両耳側半盲といって、両目の外側(左右の目の耳側)の視力が欠けてしまいます。この状態になると、人混みでぶつかり易くなったり、車の運転で衝突事故を起こしやすくなります。
稀に下垂体腺腫の腫瘍細胞が出血や虚血を起こし、急激に様々な症状が出現することがあります。(下垂体卒中)
小さいものであれば経蝶形骨洞手術を選択し、鞍上部への突出が強く大きなもの、かつ出血を起こしやすいものは開頭術を選択します。
機能性下垂体腺腫の中には、薬物療法のみで腫瘍が小さくなるものもあります。
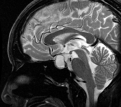
【ラトケ嚢胞】

非腫瘍性病変であり、下垂体の中にもともと存在する袋が拡大したものです。
30~60歳代に多い病気です。
無症状であれば基本的には経過観察を行いますが、大きくなり色々な症状が出現しているときには嚢胞の開放術を推奨致します。
ほとんどは経蝶形骨洞手術で改善します。
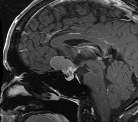
【頭蓋咽頭腫】

胎生期(生まれる前)に咽頭粘膜(喉の粘膜)が中枢神経系に迷入し、大人になってから腫瘍化することで生じると考えられています。
トルコ鞍内から鞍上部にかけて発生しますが、鞍上部に発生することが一般的です。
小児、成人ともに発生する腫瘍です。(画像所見や病理組織所見は若干異なることが多い腫瘍です)
病理組織学的には、悪性ではありませんが、再発・再増殖しやすい腫瘍です。
腫瘍の進展範囲や状態(石灰化の有無)によっては、腫瘍の摘出によりなんらかの障害がでるため、全摘出が困難な場合があり、術後に放射線治療の併用が必要になることもしばしばあります。
腫瘍が頭蓋咽頭腫である可能性が高い場合は、症状が出現する前に摘出術を行うことが推奨されます。
術後も10~15年と定期的な画像検査を必要とする病気です。
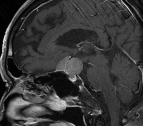
【髄膜腫】

鞍結節部髄膜腫とよばれ、髄膜腫の5~10%を占めます。
この部分の髄膜腫の特徴は、視神経の通り道への腫瘍浸潤が高率に認められることです。
そのため、小型(2.5cm未満)のものでも高頻度に視機能障害が生じることが知られています。
症状が出現する前に発見できた場合は、その時点で手術加療が推奨される特殊な髄膜腫です。
【治療方法】
基本は摘出術になりますが、放射線治療が必要と判断された場合には、それらを組み合わせて行います。
①外科的手術
全身麻酔下に、可及的に全摘出を目指します。
ただし、全摘出が困難な部位、または全摘出により術後に合併症が高率に生じると予想された場合は、安全な範囲での摘出にとどめ、必要に応じて放射線治療を併用することが有効とされています。
手術の際は、手術顕微鏡、神経内視鏡、神経モニタリング、ナビゲーションシステム、術中血管撮影、超音波検査など多様なモダリティーを用いて安全な治療を心がけています。
摘出の方法は2つに分けられます。
[ 開頭術 ]
鞍上部の腫瘍成分が多い場合に選択します。
生じやすい合併症として嗅神経障害(嗅覚の脱失)が挙げられます。
ただし、広い術野と良好な操作性が得られるため、腫瘍の硬さや出血のしやすさといった制限はないため、安全性が高く、上方へ伸展した腫瘍成分も摘出できます。
[ 経蝶形骨洞手術 ]
トルコ鞍内にとどまっている柔らかい腫瘍が良い適応です。
生じやすい合併症として髄液鼻漏(脳脊髄液が手術創部から持続的に流れること)があります。髄液鼻漏が生じると時に致命的な感染症を頭蓋内に起こすことがあります。
最近では、鞍上部の腫瘍に対しても行うことが可能になりましたが(拡大経蝶形骨洞手術)、腫瘍の出血のしやすさや硬さなど、適応については慎重な判断を要します。
②放射線治療
摘出後の残存腫瘍や再発したものには、術後の放射線治療が良い適応のことがあります。
放射線治療の中でもガンマナイフ治療というものがあります。これは放射線を局所(腫瘍)に集中的に当てられ、従来の放射線治療で問題になっていた正常脳組織への放射線被ばくを抑えることができます。
【ホルモン補充療法】
当院では、画像診断や血液生化学検査でホルモンに異常が疑われる場合、また治療後に、専門である内分泌代謝内科にご相談し、精密検査また補充が必要であれば内服の量の調整を行って頂いております。
診療科間で密な連携をとり、それぞれの専門領域で患者さんに高度な医療を提供できるように努めております。

